当前位置:MM131美女网 > 社会百态

12岁女孩肚子大如孕妇 经查发现为卵巢癌晚期

  来源:mm131美女图片(www.131mm.cc)   时间:2016-11-06 04:18  用户:苏珊

导读:今年三月份,南京溧水12岁的女孩儿晴晴在洗澡时,家人发现她的肚子鼓了起来,像别人怀孕五六个月一般,一问发现月经也停止了。 全家人都慌了 12岁的娃难道怀孕了? 家人赶紧到带...

今年三月份,南京溧水12岁的女孩儿晴晴在洗澡时,家人发现她的肚子鼓了起来,像别人怀孕五六个月一般,一问发现月经也停止了。

全家人都慌了

12岁的娃难道怀孕了?

家人赶紧到带去医院做检查,结果一查发现竟是生殖细胞恶性肿瘤,也就是通常说的卵巢癌,切下来的肿瘤长达20厘米!

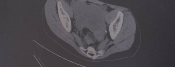
CT画面显示,盆腔里有一个大的实性的肿瘤,占据整个盆腔的二分之一以上,最大的直径将近20厘米。正常的卵巢都已经看不到了,被肿块全部占据了。

晴晴属于卵巢癌四期,也就是晚期,好在癌细胞没有转移到其他重要器官。医生立刻对晴晴进行了手术。目前晴晴术后情况良好,后续将会接受化疗。

12岁女孩肚子大如孕妇 经查发现为卵巢癌晚期 12岁女孩肚子大如孕妇 经查发现为卵巢癌晚期

一个才12岁的小女孩

怎么就得了卵巢癌呢?

医生说,可能跟感染因素、激素因素,还有理化因素、免疫因素这些因素有关系,最近研究也发现也有可能是遗传因素的作用。卵巢癌的病因,目前并不十分明确,一般多见于育龄期妇女和青少年。

卵巢癌不易被发现

偶然发现已是中晚期

而值得警惕的是,它往往不容易被发现。因为卵巢位置比较深,在盆腔的深部,子宫的后方,而且卵巢体积比较小,所以早期发现卵巢癌的机会不是太大,往往都是偶然发现,大多数病人来到医院发现的时候已经是中晚期。

月经是最重要的信号灯

需多加关注

专家提醒,月经是女性健康最直接的信号灯,平时应留意观察,如果持续异常,并且下腹有包块,就要及时到医院检查。医生提示,养成良好的生活习惯,提高免疫力可以一定程度上帮助预防卵巢癌。平时定期体检,做到早发现早治疗。

美女精选

About's | 联系方式 | 广告服务 | 免责声明 | 版权声明 | 加入我们 | 网站地图 | 意见反馈 | 投稿 | 隐私政策 Copyright ©  MM131美女图片网 www.131mm.cc ALL Rights Reserved. 本站提供高清美女图片仅供免费欣赏,部分mm图片资源来自互联网整理,如有侵犯版权请联系我们立即处理。 网站备案号 :

关注美女微信mm美女图片公众号